En este blog encontraran información relacionada a la Odontología Preventiva e Higiene Bucal.
martes, 29 de noviembre de 2016
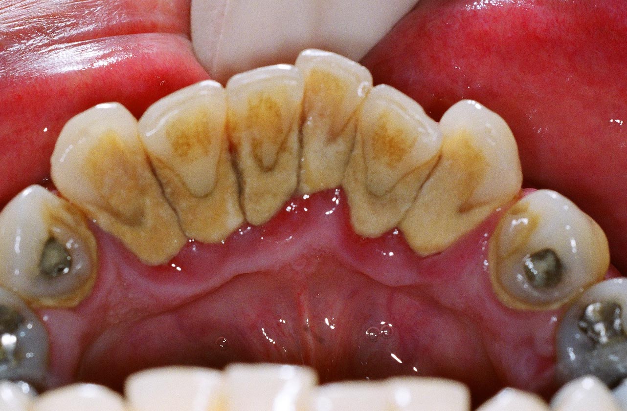
CALCULO DENTAL
El cálculo dental es placa dental calcificada. El sarro o cálculo dental es la causa principal de la inflamación de las encías y la infección periodontal.
Es una película pegajosa y casi invisible formada por las bacterias que habitan en la cavidad oral que se extiende continuamente alrededor de los dientes y de las prótesis dentales que haya en la boca.
El cálculo dental está compuesta por los productos de residuo de las bacterias, unas toxinas que dañan las encías. Las toxinas no sólo afectan la encía, sino también destruyen el hueso subyacente que soporta los dientes provocando la periodontitis.
Conforme la infección de las encías continúa, también lo hace la destrucción del hueso, normalmente sin ningún síntoma, especialmente en las fases tempranas de la enfermedad. Cuando se llega a perder mucho hueso, el diente comienza a moverse y puede terminar cayendo o debe ser extraído.
PLACA DENTOBACTERIANA
Es una película incolora, pegajosa compuesta por bacterias y azúcares que se forma y adhiere constantemente sobre nuestros dientes. Es la principal causa de las caries y de enfermedad de las encías y pueden endurecerse y convertirse en sarro si no se retira diariamente.
MATERIA ALBA
Es un deposito blando, blanquecino, pegajoso y menos adherente que la placa dental. Se puede desprender con con chorro de aire/agua aunque es necesario el barrido mecánico para su completa eliminación. Las bacterias y sus productos son la causa del efecto irritante de la materia alba sobre la encía.
Técnica de cepillado
El cepillado correcto lleva al menos dos minutos. La mayoría de los adultos no se
cepillan durante tanto tiempo. A fin de tener una idea del tiempo involucrado,
utilice un cronómetro. Para cepillarse correctamente los dientes, use movimientos
cortos y suaves, prestando especial atención a la línea de la encía, los dientes
posteriores de difícil acceso y las zonas alrededor de obturaciones, coronas y
otras reparaciones.
HIGIENE BUCAL
Los buenos
hábitos de salud bucal comienzan a temprana edad, esto para asegurar una boca
saludable por muchos años, lo cual se explicara en la siguiente cita:
La higiene dental nos permitirá prevenir enfermedades en
las encías y evitará en gran medida la caries. Pero una higiene dental se debe
realizar de la forma y con las herramientas adecuadas. Además, se deberá
dedicar el debido tiempo para que sea efectiva.
Es importante saber que la
higiene bucal no es solo tener los dientes limpios o cepillados, sino, saber
que esto con lleva a una serie de técnicas apropiadas para llevar a cabo una
correcta higiene bucal.
El buen cuidado de los
dientes y encías es una medida preventiva saludable. Hacerse exámenes y
limpieza bucales regularmente, usando hilo dental y cepillándose dos veces al
día con pasta dental y fluoruro no solamente mejorará su sonrisa, sino hasta
puede mejorar su salud en general.
Cepillo Dental
El cepillo de dientes es un objeto que todos
usamos para realizar nuestra higiene bucodental lavándonos los dientes. Los
cepillos de dientes se componen de un mango y un pequeño cepillo que elimina
los restos de comida en la boca y en los dientes. El cepillo de dientes se
utiliza con pasta de dientes. El dúo se debe utilizar, de preferencia, después
de cada comida y al menos dos veces al día para reducir el riesgo de caries,
mal aliento o enfermedades bucodentales.
Actualmente hay una gran diversidad de cepillos y debemos
utilizar siempre el que más se adapte a nuestras
necesidades:
- Cepillo convencional: con 3 o 4 tiras de cerdas, es el que usamos normalmente.
- Cepillo periodontal: tiene dos tiras de cerdas. Se utiliza en casos de inflamación gingival y surcos periodontales profundos. También es recomendable en niños con ortodoncia fija.
- Cepillo eléctrico: tiene 3 tipos de movimiento horizontal, alternado, vertical arqueado o vibratorio. Pueden ser especialmente útiles en personas disminuidas físicas o mentales, debido a la simplicidad de la operación por el paciente o por quien le ayude.
- Cepillos interproximales: Los cepillos interproximales, se utilizan para limpiar entre los dientes y muelas, cuando el espacio entre las piezas es amplio, o cuando existe un puente de porcelana o dientes ferulizados (unidos, soldados).También se usan con el mismo fin, para limpiar los implantes, al ras o dentro del surco de la encía, por debajo de la estructura que sostiene los dientes de porcelana o por debajo de las barras que retienen una sobredentadura.
Enjuagues bucales
El enjuague bucal o colutorio es una solución que suele usarse después del cepillado de dientes, para eliminar las bacterias y microorganismos causantes de caries y eliminar el aliento desagradable.Los enjuagues bucales ayudan a suprimir temporalmente el mal aliento, reduce las bacterias en la boca y refrescan, dejando en ella un sabor agradable.
Existen enjuagues con funciones específicas; según su composición, se pueden encontrar enjuagues que se especializan en la prevención de halitosis, es decir, el mal aliento; otros con flúor que previenen la caries y optimizan la calcificación de los dientes. Asimismo, se están diseñando enjuagues bucales con el objetivo de reducir o curar las neoplasias en la cavidad bucal.
Pasos para el buen uso del enjuague bucal
- El empleo implica la limpieza de la boca con aproximadamente 20 ml dos veces al día después del cepillado
- Se lo mantiene 5 minutos en la boca haciendolo pasa por toda la cabidad bucal
- El enjuague ha de ser vigoroso incluyendo gargaras durante un minuto. Se recomienda no enjuagar la boca con agua después de escupir el enjuague.
Dentífricos
Son aquellos productos (cremas, pastas, soluciones, polvos) que se utilizan para la limpieza de la dentadura, y generalmente acompañan al método de cepillado. Es importante destacar, sin embargo, que sin un buen método de cepillado, la acción de los dentífricos es ineficaz.Los dentífricos están compuestos por diferentes substancias y cada una de ellas tiene una función diferente a continuación se mencionan algunos de los más usados.
- Detergentes: Son agentes tensioactivos que tienen por objetivo disminuir la tensión superficial, penetrar y solubilizar los depósitos que hay sobre las piezas dentarias y facilitar la dispersión de los agentes activos del dentífrico.
- Abrasivos: Los abrasivos son substancias que al aplicarlos sobre las piezas dentarias, durante el cepillado, eliminan los depósitos acumulados. Los dentífricos deben tener un índice de abrasividad comprendido entre los 50 y 200 RDA (abrasión de la dentina radiactiva).
- Humectantes: Son agentes que evitan el endurecimiento del dentífrico, se usan glicerina, sorbitol, xilitol, propilenglicol.
- Aromatizantes y Edulcorantes: Son substancias que dan sabor al dentífrico, se usan: menta, mentol, canela, eucalipto.
- Colorantes: se usa colorante vegetal que se usan en los alimentos y bebidas.
Hilo dental
El hilo dental de nylon puede estar o no encerado, y existen una gran variedad de sabores. Puesto que este tipo de hilo dental está compuesto por muchas hebras de nylon, a veces se desgarra o deshilacha, especialmente entre los dientes con puntos de contacto apretados.
El uso correcto del hilo dental elimina la placa y las partículas de comida de lugares que el cepillo dental no puede alcanzar fácilmente: debajo de la encía y entre los dientes. Como la acumulación de placa puede provocar caries y enfermedades de las encías, se recomienda el uso diario de hilo dental.
Existen dos tipos de hilo dental:
- Hilo dental de nylon (o multifilamento)
- Hilo dental PTFE (monofilamento)
Uso del hilo dental
1) Tomando unos 45 cm (18") de hilo dental, enrolle la mayor
parte del mismo alrededor del dedo anular, dejando 3 o 5 cm (1 ó
2") de hilo para trabajar.
2) Sostenga el hilo dental tirante entre los dedos pulgares e
índices, y deslícelo suavemente hacia arriba y hacia abajo entre
los dientes.
3) Curve el hilo dental suavemente alrededor de la base de cada
diente, asegurándose que pase por debajo de la encía. Nunca
golpee ni force el hilo, ya que puede cortar o lastimar el delicado
tejido gingival.
4) Utilice secciones de hilo limpio a medida que avanza de diente
en diente.
5) Para extraer el hilo, utilice el mismo movimiento hacia atrás y
hacia adelante, sacándolo hacia arriba y alejándolo de los
dientes.
INDICE DE CPO Y CEO
INDICE CPO-D:
Se ha
convertido en el índice fundamental de los estudios odontológicos que se realizan para cuantificar la
prevalencia de la Caries Dental, señala la experiencia de caries tanto presente como pasada, pues
toma en cuenta los dientes con lesiones de caries y con tratamientos previamente realizados
Se obtiene de la sumatoria de los dientes permanentes Cariados, Perdidos y Obturados, incluyendo las
Extracciones Indicadas, entre el total de individuos examinados.
Indice ceo-d:
En los niños se utiliza el ceo-d ( dientes temporales ) en minúscula, las excepciones principales
son los dientes extraídos en niños por tratamiento de ortodoncia o perdidos por accidentes, así
como coronas restauradas por fracturas.
El índice para dientes temporales es una adaptación del índice COP a la dentición temporal, fue
propuesto por Gruebbel y representa también la media del total de dientes temporales cariados (
c ) con extracciones indicadas ( e ) y obturaciones ( o ).
CARIES
Enfermedad infecciosa, multifactorial, universal, que determina la desmineralización, disolución y degradación de las matrices mineralizadas de los tejidos dentarios.
Clasificación según localización anatómica
Superficies lisasSuperficies oclusales
Superficies radiculares
Superficies interproximales
Fluorosis
El fluoruro es un mineral importante para todos los niños. En la boca hay bacterias que se
combinan con los azúcares de los alimentos que comemos y las bebidas que tomamos. El ácido
producido daña el esmalte dental y es perjudicial para los dientes. El fluoruro protege los dientes
e, incluso, puede ayudar a revertir signos tempranos de caries. Pero la mayor disponibilidad de
fluoruro en la actualidad ha provocado el aumento de una afección llamada fluorosis dental.
La fluorosis dental es causada por el consumo de una cantidad excesiva de fluoruro durante el período en que los dientes se están formando pero antes de que aparezcan en la boca. Esto sucede antes de los 8 años de edad. Para evitar esta posibilidad, supervise el cepillado dental de manera que los niños no usen demasiada pasta dental o enjuague bucal y aprendan a escupir, no ingerirlos.
Podemos clasificar la Fluorosis en:
¿Qué es la fluorosis dental?
La fluorosis dental es un cambio en el aspecto de la superficie esmaltada del diente. Los tipos más comunes no afectan la función del diente y no causan dolor. La mayor parte de la fluorosis dental es muy leve o leve. Las formas leves de la fluorosis aparecen como marcas blancas similares al encaje sobre el esmalte del diente y son difíciles de ver con un ojo no entrenado. Hay pocos casos de fluorosis que se clasifican como moderados. La fluorosis moderada tiene el mismo aspecto que la leve pero cubre una mayor parte del diente. En casos poco comunes, la fluorosis se describe como grave. Cuando la fluorosis es grave, el esmalte puede tener picaduras y manchas marrones.¿Qué causa la fluorosis dental?
La fluorosis dental es causada por el consumo de una cantidad excesiva de fluoruro durante el período en que los dientes se están formando pero antes de que aparezcan en la boca. Esto sucede antes de los 8 años de edad. Para evitar esta posibilidad, supervise el cepillado dental de manera que los niños no usen demasiada pasta dental o enjuague bucal y aprendan a escupir, no ingerirlos.
Podemos clasificar la Fluorosis en:
- En la fluorosis dental muy leve aparecen pequeñas zonas blancas como papel y opacas dispersas irregularmente en el diente, pero que afectan a menos de 25% de la superficie dental labial.
- En la fluorosis dental leve la opacidad blanca del esmalte es mayor que la correspondiente a la muy ligera, pero abarca menos de 50% de la superficie dental labial.
- En la fluorosis dental moderada la superficie del esmalte de los dientes muestra un desgaste marcado; además, el tinte pardo es con frecuencia una característica que la distingue.
- En la fluorosis dental grave La superficie del esmalte está muy afectada y la hipoplasia es tan marcada que puede afectarse la forma general del diente. Se presentan zonas excavadas o gastadas y se halla un extendido tinte pardo; los dientes a menudo presentan un aspecto corroído.
FLUOR
El flúor es un mineral presente de forma natural en las fuentes de agua, incluidos los océanos.
El flúor es la principal arma contra las caries, ayuda a mantener todos los dientes fuertes, independientemente de su edad, también ayuda a reparar las primeras etapas de la caries incluso antes que se haga visible.
En forma de solución o barniz. Tiene sabor aceptable, no mancha dientes ni obturaciones y no irrita la encía.
Fluoruro Estañoso
En forma de solución. Es un efectivo agente antiplaca. Tiene el inconveniente de su baja estabilidad (no se puede almacenar), alto coste, gusto desagradable, pigmentaciones e irrita la encía en caso de mala higiene. También se presenta en forma de colutorio asociado a flúor de aminas (125 ppm de cada tipo de flúor).
Flúor Fosfato Acidulado
En solución o en gel al. Se compone de fluoruro de sodio, ácido fluorhídrico y ácido fosfórico. Actualmente es el más utilizado. A las ventajas del NaF se añadió un pH más bajo, con lo cual la captación de flúor por el esmalte es mayor. Actualmente se comercializa en forma de solución tixotrópica (no son verdaderos geles, sino soles viscosos). Tiene una elevada viscosidad en condiciones de almacenamiento, pero se convierten en líquido en condiciones de mucha presión o fuerza de deslizamiento. Son más estables a pH más bajo y no escurren de la cubeta tan fácilmente como los geles convencionales de metilcelulosa.
Fluoruro de Aminas
Solución y gel. Combina el efecto protector del fluoruro, con la protección físico-química de las aminas alifáticas de larga cadena, ofreciendo una buena capacidad de protección al esmalte frente a los ácidos.
El flúor es la principal arma contra las caries, ayuda a mantener todos los dientes fuertes, independientemente de su edad, también ayuda a reparar las primeras etapas de la caries incluso antes que se haga visible.
Tipos de Flúor
Fluoruro de SodioEn forma de solución o barniz. Tiene sabor aceptable, no mancha dientes ni obturaciones y no irrita la encía.
Fluoruro Estañoso
En forma de solución. Es un efectivo agente antiplaca. Tiene el inconveniente de su baja estabilidad (no se puede almacenar), alto coste, gusto desagradable, pigmentaciones e irrita la encía en caso de mala higiene. También se presenta en forma de colutorio asociado a flúor de aminas (125 ppm de cada tipo de flúor).
Flúor Fosfato Acidulado
En solución o en gel al. Se compone de fluoruro de sodio, ácido fluorhídrico y ácido fosfórico. Actualmente es el más utilizado. A las ventajas del NaF se añadió un pH más bajo, con lo cual la captación de flúor por el esmalte es mayor. Actualmente se comercializa en forma de solución tixotrópica (no son verdaderos geles, sino soles viscosos). Tiene una elevada viscosidad en condiciones de almacenamiento, pero se convierten en líquido en condiciones de mucha presión o fuerza de deslizamiento. Son más estables a pH más bajo y no escurren de la cubeta tan fácilmente como los geles convencionales de metilcelulosa.
Fluoruro de Aminas
Solución y gel. Combina el efecto protector del fluoruro, con la protección físico-química de las aminas alifáticas de larga cadena, ofreciendo una buena capacidad de protección al esmalte frente a los ácidos.
NOM-013-SSA2
Esta Norma pretenden actualizar
lineamientos, métodos, técnicas y criterios de operación de los servicios odontológicos del país, elevar la calidad y equidad de los mismos con énfasis
en la prevención, disminuir costos, así como evitar la mala práctica, con
el propósito de mejorar el nivel de salud bucal de la población mexicana y
de crear una nueva cultura: "La Cultura de la Salud".
Objetivo
Esta Norma Oficial Mexicana establece
los métodos, técnicas y criterios de operación del Sistema Nacional de
Salud, con base en los niveles de prevención, control y vigilancia epidemiológica
de las enfermedades bucales de mayor frecuencia en la población de los
Estados Unidos Mexicanos.
Campo de aplicación
Esta Norma Oficial Mexicana
es de observancia obligatoria en todo el territorio nacional para
los establecimientos de salud y prestadores de servicios de los sectores
público, social y privado que realicen acciones para la promoción de la
salud bucal, prevención, diagnóstico y tratamiento de las
enfermedades bucales.
Educación para la salud
La
Educación para la Salud es un proceso de comunicación interpersonal dirigido a
propiciar las informaciones necesarias para un examen crítico de los problemas
de salud y así responsabilizar a los individuos y a los grupos sociales en las
decisiones de comportamiento que tienen efectos directos o indirectos sobre la
salud física y psíquica individual y colectiva.
SALUD PÚBLICA
Winslow define a la salud pública como:
"La Salud Pública es la ciencia y el arte de impedir las enfermedades, prolongar la vida, fomentar la salud mediante el esfuerzo organizado de la comunidad."
"La Salud Pública es la ciencia y el arte de impedir las enfermedades, prolongar la vida, fomentar la salud mediante el esfuerzo organizado de la comunidad."
Objetivos de la salud pública
- Vigilar el estado de salud de la población y sus necesidades.
- Desarrollar las mejores políticas de salud y garantizar la prestación de servicios sanitarios.
Su desarrollo se caracteriza por
- Énfasis en la responsabilidad colectiva sobre la salud.
- Dirigida a toda la población.
- Énfasis en la prevención.
- Una atención a los factores de riesgos y a los los determinante socio-económicos de la salud.
- Aproximación multidisciplinaria
Estrategias de la Salud pública
SALUD Y ENFERMEDAD
Salud:
La OMS de fine a la salud como:
"Un estado de completo bienestar físico, mental y social, y no solamente la ausencia de afecciones o enfermedades."
Enfermedad:
Es cualquier desviación o interrupción de la estructura normal o función de cualquier parte, órgano o sistema (o combinación de los mismos) del cuerpo que se manifiesta por un conjunto característicos de síntomas o signos.
La OMS de fine a la salud como:
"Un estado de completo bienestar físico, mental y social, y no solamente la ausencia de afecciones o enfermedades."
Enfermedad:
Es cualquier desviación o interrupción de la estructura normal o función de cualquier parte, órgano o sistema (o combinación de los mismos) del cuerpo que se manifiesta por un conjunto característicos de síntomas o signos.
CADENA EPIDEMIOLÓGICA
Suscribirse a:
Comentarios (Atom)





































